Reparto
Neurochirurgia
Segreteria
neurochirurgia@policlinico.mi.it
02 5503.5502
Neurochirurgia
Degenze02 5503.5545 - 5528 - 8751
Padiglione Monteggia - piano 3
Informazioni sui ricoveri e orari di visita
Orario di colloquio con i medici:
Giorni feriali e festivi: 15.00 - 16.00
Il Direttore riceve tutti i giorni previo appuntamento
Attività Clinica
La Neurochirurgia del Policlinico svolge attività di diagnosi e cura di tutte le patologie che colpiscono il sistema nervoso centrale e periferico che richiedono un intervento chirurgico. L’alta competenza dei medici neurochirurghi e l’approccio multidisciplinare che vede il coinvolgimento degli specialisti della Endocrinologia, dell’Oculistica, dell’Otorinolaringoiatria e della Neuroradiologia, permettono di trattare:
-la malattia ipofisaria con tecnica endoscopica e tradizionale microscopica;
-la patologia encefalica endoventricolare e idrocefalica con tecnica neuro-endoscopica;
-le alterazioni della colonna vertebrale come ernie discali, rizomielopatie e osteoporosi, ricorrendo quando necessario a interventi di fissazione (vertebroplastiche)
L’unità operativa dispone, inoltre, di un team dedicato alla neurochirurgia ricostruttiva dei nervi periferici che consente di trattare sindromi del sistema nervoso periferico come tunnel carpale e tarsale, e lesioni del plesso brachiale e dei nervi periferici. Particolare attenzione è data alla neurochirurgia stereotassica funzionale ed alla neuroendoscopia per il trattamento di alcune patologie come i disordini del movimento, l'idrocefalo, la patologia neoplastica intracranica ed ipofisaria, avvalendosi delle più moderne tecnologie stereotassiche ed endoscopiche. La tecnica stereotassica è anche impiegata per aumentare la precisione di posizionamento di cateteri all’interno di cavità cistiche profonde come ad esempio nelle cisti associate a craniofaringiomi, negli ascessi cerebrali, per casi particolari di idrocefalo.
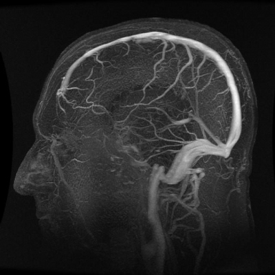
Vengono effettuate biopsie stereotassiche cerebrali con l’utilizzo di un casco stereotassico e i dati raccolti sono elaborati da sofisticati programmi di calcolo delle coordinate. Tale procedura consente la diagnosi istologica delle lesioni espansive intracraniche e offre un grado di precisione molto elevato (dell´ordine del millimetro), grazie anche all’esperienza maturata dall’équipe. L’elevata specializzazione dell’équipe ha portato all’attivazione di specifici percorsi di diagnosi e di cura, anche in situazioni di emergenza, per la patologia vascolare intra ed extracranica; i medici, in particolare, sono in grado di intervenire su aneurismi, malformazioni artero-venose, angiomi cavernosi, stenosi carotidee e vertebrali, grazie all’alta professionalità, all’utilizzo di tecniche innovative e alla collaborazione con il team di neuroradiologi.
Nel corso degli anni il team ha maturato una forte esperienza:
- nel trattamento con neurochirurgia endoscopica trans-naso-sfenoidale degli adenomi dell´ipofisi, delle fistole liquorali del basicranio anteriore, dei mielomeningoceli anteriori e delle lesioni orbitarie approcciabili endoscopicamente, con una minore invasività della tecnica tradizionale;
- nel trattamento della patologia sellare con tecnica endoscopica trans-naso-sfenoidale che offre il vantaggio di una minore invasività ed un maggior controllo visivo in profondità. Gli interventi vengono eseguiti avvalendosi della collaborazione degli specialisti dell’Otorinolaringoiatria;
- nel trattamento dell’idrocefalo sia nell’adulto che nel bambino (idrocefalo complesso, settostomia e terzoventricolocisternostomia);
- nel trattamento della cisti colloide del III° ventricolo con tecnica endoscopica che offre minore invasività della metodica microchirurgica;
- nel trattamento del morbo di Parkinson e degli altri disordini del movimento come la distonia e la sindrome di Gilles de la Tourette con impianto di elettrodi per la stimolazione profonda (Deep Brain Stimulation). Gli interventi sono eseguiti con tecnica di fusione di immagini per l´identificazione del target (nucleo subtalamico), micro registrazione di profondità sino a 5 tracce per lato e si avvalgono di una équipe composta da neurochirurghi, neurofisiologi e neurologi in collaborazione con il Centro di riferimento per la neurostimolazione, le neurotecnologie ed i disordini del movimento;
- nel posizionamento di cateteri in lesioni cistiche come i craniofaringiomi cistici con tecnica endoscopica;
- nelle biopsie di lesioni endoventricolari sotto controllo endoscopico.
Gli esami neuroradiologici sono eseguiti con risonanza magnetica, spettroscopia, trattografia e risonanza funzionale per definizione del volume tumorale pre e post-operatorio e valutazione della risposta alle terapie (radio e chemioterapia), in collaborazione con i medici della Neuroradiologia. La strumentazione endoscopica è di ultima generazione, con ottiche dedicate alla chirurgia ipofisaria, telecamera a 3 CCD (sensori ottici), sistema integrato di visualizzazione di immagini e registrazione (Brain Suite).
L’unità operativa ha inoltre, una confermata esperienza nel campo della neurochirurgia e della neurooncologia e dispone di un Centro di riferimento per la neurochirurgia oncologica che consente la diagnosi e la terapia, sia chirurgica sia farmacologica, dei tumori cerebrali e spinali benigni e neoplastici. È possibile eseguire la ricerca di biomarkers specifici assieme agli specialisti della Anatomia Patologica del Policlinico. Infine, la Neurochirurgia del Policlinico si inserisce nel sistema urgenza/emergenza dell’Ospedale per la neurotraumatologia cranica e spinale avvalendosi di medici altamente specializzati nelle procedure di neuroanestesia e neurorianimazione.
Patologie trattate e Servizi
- Aneurismi, malformazioni artero-venose, angiomi cavernosi, stenosi carotidee e vertebrali (patologia vascolare intra ed extracranica)
- Gliomi, meningiomi, adenomi ipofisari (patologia oncologica)
- Patologia ipofisaria
- Patologia encefalica endoventricolare e idrocefalica
- Ernie discali, rizomielopatie spondilogene e oncologiche, osteoporosi (patologia della colonna vertebrale)
- Tunnel carpale, tarsale, lesioni del plesso brachiale e dei nervi periferici (patologia del Sistema Nervoso Periferico)

