
Fabio Maria Triulzi
Medico
Direttore di Struttura Complessa
Professore ordinario di Neuroradiologia all'Università degli Studi di Milano
- Neuroradiologia Pediatrica
- Sviluppo del sistema nervoso Centrale
- Neuroimaging del neonato
- RM fetale
- RM autoptica
- Malformazioni del sistema nervoso centrale
- Epilessia
- Malattie rare del sistema nervoso centrale
- Sindromi con interessamento del sistema nervoso centrale
Nell'ambito della Neuroradiologia Pediatrica è stato tra i primi ad introdurre in Italia l'uso della Risonanza Magnetica per la valutazione del sistema nervoso del feto allo scopo di studiare il sistema nervoso centrale già durante le fasi iniziali del suo sviluppo. Prossimamente la Risonanza Magnetica sarà affiancata da microTC che consentirà di studiare feti già da 10-12 settimane di gestazione.
Si è laureato in Medicina e Chirurgia nel 1983 e ha conseguito la specializzazione in Medicina Nucleare e Radiodiagnostica all'Università degli Studi di Milano nel 1989.
Ha inoltre svolto 4 mesi di formazione al Hospital for Sick Children di Toronto (Canada), uno dei principali riferimenti mondiali fra gli ospedali pediatrici.
Dal 1985 al 2000 ha lavorato come Assistente prima e come Aiuto poi nella Neuroradiologia dell’Ospedale San Raffaele di Milano.
Successivamente, fino al 2012, è stato Direttore della Radiologia e Neuroradiologia Pediatrica all'Ospedale dei Bambini “V. Buzzi” di Milano e contemporaneamente Direttore del Dipartimento di Diagnostica per Immagini degli Istituti Clinici di Perfezionamento di Milano.
Dal 2012 è Direttore della Neuroradiologia del Policlinico di Milano.
Inoltre è Professore Ordinario di Neuroradiologia all'Università degli Studi di Milano e dal 2024 è Presidente del Corso di Laurea Magistrale in Scienze delle Professioni Sanitarie Tecniche Diagnostiche.
Dal 1990 collabora con l'IRCCS E. Medea di Bosisio Parini in cui è stato fondatore e responsabile del CeSNE (Centro studi di Neuroradiologia dell'Età Evolutiva).
L’attività di ricerca è concentrata prevalentemente nell'ambito della Neuroradiologia Pediatrica, in special modo nello studio delle patologie del neonato e del feto, nelle malformazioni cerebrali e nelle malattie rare. Inoltre particolarmente interesse è rivolto alle principali tecniche avanzate in Risonanza Magnetica e le loro applicazioni sia nelle patologie del bambino che dell'adulto.
#DepressionePostPartum: uno studio del Policlinico di Milano per capire come cambia il cervello con la terapia
Affrontare la maternità può essere un momento di grande gioia, ma anche una fase di vulnerabilità. Dopo il parto, molte donne vivono emozioni intense e faticose: stanchezza, tristezza, senso di inadeguatezza o...

Acufene pulsante la speranza rinasce al Policlinico di Milano. Il caso di Anna e la cura che le ha cambiato la vita
Una diagnosi difficile, anni di sofferenza e un intervento risolutivo: la storia di Anna, una giovane paziente egiziana affetta da acufene pulsante, curata con successo al Policlinico di Milano grazie all’esperienza...

#SOCIAL. Stroke Unit, il delicato intervento nella notte di Capodanno. Il ringraziamento di Roberto
"La notte del 31 dicembre avevo progetti un po' diversi dall'ictus e dal codice rosso in pronto soccorso al Policlinico di Milano. Però certe decisioni - le più importanti, pensa un po' - non sono nelle...

[19.09] Clinical applications and pitfalls in Diffusion Tensor Imaging and tractography
Le applicazioni cliniche e le insidie dell'imaging con tensore di diffusione e della tecnica di ricostruzione di trattografica saranno il focus del seminario organizzato dalla nostra Neuroradiologia. Per studiare...

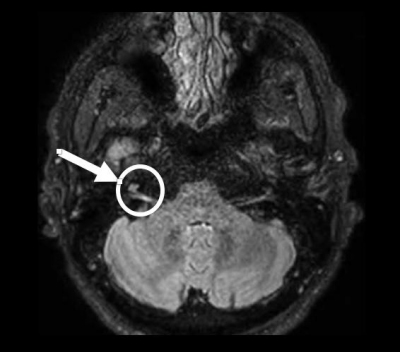
In pochi millimetri un dispositivo per trattare un aneurisma cerebrale. Al Policlinico di Milano il primo intervento
Circa 1 persona su 30 nel mondo potrebbe avere un aneurisma cerebrale: molto spesso si scopre di averlo per caso, durante un esame fatto per altri motivi. Un aneurisma è un indebolimento della parete di un'arteria: nella...

#RICERCA. Angiomatosi Cerebrale Familiare: una nuova terapia con un “vecchio” farmaco per evitare la chirurgia
Un farmaco dal costo di pochi euro ha rivoluzionato la cura di alcune malattie cardiovascolari a partire dagli anni ‘60. Oggi lo stesso principio attivo, il propranololo, potrebbe “cambiare la storia clinica” delle...

RICERCA. Scoperto un accumulo di ferro nella corteccia motoria dei pazienti affetti da SLA
Con il ferro nel cervello. Scoperto un accumulo di ferro nella corteccia motoria dei pazienti affetti da SLA: come la Risonanza Magnetica Nucleare può dimostrarlo e fornire un biomarcatore utile alla diagnosi precoce della...

Sclerosi multipla, un nuovo biomarcatore in grado di predire la progressione della malattia
Sul Multiple Sclerosis Journal, una ricerca di Università degli Studi di Milano, Fondazione IRCCS Ca’ Granda Ospedale Maggiore Policlinico, Centro Dino Ferrari dimostra come bassi livelli della proteina β-amiloide nel liquido cefalorachidiano possano rappresentare un biomarcatore predittivo della progressione della malattia.

La risonanza magnetica a misura di bambino: l'esperienza del Policlinico di Milano
La Neuroradiologia del Policlinico è il riferimento per un ampio ventaglio di prestazioni, sia per fare diagnosi sia per intervenire direttamente su una data patologia o problema. Queste prestazioni sono per pazienti di tutte le età, dall'adulto all'anziano, fino al bambino e al neonato...

Sordità improvvisa, diagnosi più precise con la Neuroradiologia
La sordità improvvisa è un brusco calo dell’udito, un evento non infrequente che può colpire anche i giovani adulti. Le cause possono essere diverse (ad esempio infezioni, traumi, patologie autoimmuni oppure vascolari) e non è sempre...
